结核病的影像诊断与治疗挑战
点击数:7522014-10-28 12:10:40 来源: 上海美盛医疗器械有限公司
结核病是由结核分枝杆菌引起的多系统疾病,是世界范围内仅次于HIV/AIDS、由单一传染源致病的第二大杀手。根据2012年世界卫生组织(WHO)的估计,全世界约有超过860万人口患有结核,130万人因之丧生。
近期,美国杜克大学医学中心放射诊断科的Wendy Walker博士对结核病的常见影像学表现及治疗中的常见问题进行总结,涉及肺内、肺外结核,多耐药及广泛耐药结核的治疗选择、合并HIV感染等方方面面,现将主要内容编译如下。

图1. 一位进展性肺结核患者双侧胸腔积液(左侧较右侧严重)。
初次感染结核常为隐匿性经过,少数患者可能会有明显的血液播散,导致粟粒型肺结核。
仅有5%的患者为初发性结核病,大多数有症状的患者都是继发性结核(也称为结核再活动),症状主要有发热、精神萎靡、夜间盗汗、体重减轻、咳嗽、伴或不伴有咯血。
肺部是结核分枝杆菌最常见的侵袭部位,是疾病传播的主要来源,也是导致个体致病、致死的主要原因。
影像学特征包括斑片状或肺叶的实变、空洞(继发性肺结核的典型表现)、纵隔淋巴结肿大和胸腔积液。继发性肺结核常侵犯上叶尖后段及下叶背段。代表着血行播散的粟粒型肺结核并不常见,但预后不佳。
除了双上肺肺气肿外,下列哪项增加患者感染结核的风险?
A、糖尿病;
B、慢性肾衰竭;
C、强的松20mg/天的治疗;
D、HIV感染;
E、矽肺。
答案:D、HIV感染

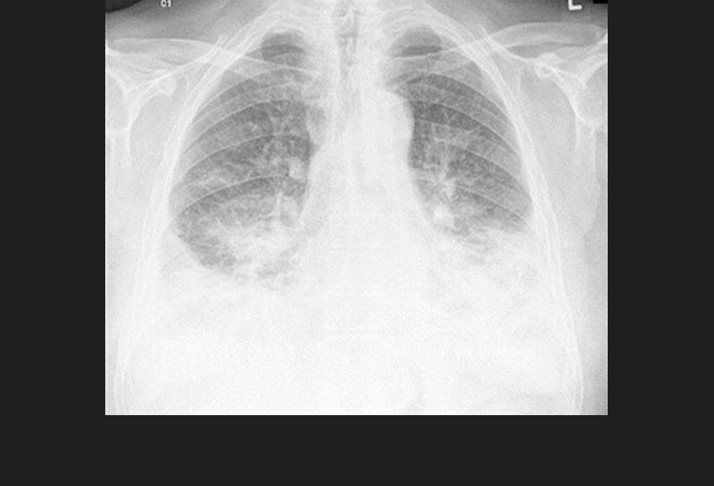
图5. 一位HIV阳性患者的继发性肺结核
HIV改变了结核的发病机制,因此极大的增加了结核进展的风险,导致更容易出现肺外侵犯,出现不典型的X-线表现。
整体而言,结核是HIV血清学阳性患者最常见的机会性感染,也是AIDS患者最常见的死亡原因。

图6. 增强T1加权的磁共振矢状面图像展示了波特病的椎体受累表现
免疫系统受损的患者(例如HIV阳性患者)是发生肺外结核的高危人群。肺外结核可能侵犯多个器官或组织,包括心脏、肝脏、脾脏、眼、胃肠道、脑组织和脊椎。很多肺外结核患者胸部X线表现正常。
波特病(继发于结核血行播散的骨髓炎或椎间盘炎症)可能导致渐进性椎体塌陷和后凸畸形。
当前,美国食品药品管理局(FDA)共批准了11种药物用于治疗结核。一线药物包括利福平、异烟肼、吡嗪酰胺和乙胺丁醇,上述药物对敏感性结核高度有效。
其他FDA批准的药物包括利福喷丁、环丝氨酸、乙硫异烟胺、对氨基水杨酸、链霉素、卷曲霉素、贝达喹啉,这些药物主要用于多耐药结核(MDR-TB)的联合治疗。
治疗结核病的方案为2个月的初始(强化)治疗,随后4个月或7个月的巩固治疗,有多种方案可供选择。对于治疗2个月后首次胸片显示空洞且痰培养阳性的患者,其巩固治疗应达到28周。

图8. 这张轴面CT来自一位继发性肺结核慢性脓胸患者,展示了其左侧钙化的胸腔积液。
随着耐药结核患病率在世界范围内的不断攀升,结核的治疗逐渐成为一个巨大的挑战。
多耐药结核(MDR-TB)定义为对两个最有效的一线抗结核药物异烟肼和利福平,及至少一种可注射的二线药物(例如阿米卡星、卡那霉素、或卷曲霉素)耐药。
多耐药结核需要长达2年的长期治疗,使用到的药物负作用更大,且价格昂贵。

图9. 冠状位CT展示了一位结核患者右上肺的巨大空洞病变,伴随着多个小结节及空洞。
经过2个月的治疗,下列哪项提示可能是多耐药结核感染?
A、无发热;
B、无盗汗;
C、咳嗽改善;
D、体重继续减轻;
E、胸部X线无改善。
答案:D、体重继续减轻。
随着有效的抗痨治疗,患者体重应当增加。当出现持续发热、胸部X线恶化、咳嗽增加、持续夜间盗汗及痰培养迟迟不能转阴时均应考虑到多耐药结核感染的可能。
如果患者发展为对一线抗痨药物耐药的多耐药结核感染,下列哪项不是造成这种结果的原因?
A、用少于4种药物治疗;
B、在失败方案的基础上加用药物;
C、漏诊多耐药结核;
D、恰当观察下的家庭治疗;
E、之前不恰当的异烟肼治疗。
答案:D、恰当观察下的家庭治疗。
结核患者可以在家治疗,只要在服药期间给予恰当的病情观察,他们并不需要住院治疗。

图13. 轴面骨窗CT展示了一位肺结核及波特病患者右上叶后部实变,椎旁软组织增厚及临近椎体的破坏。
导致结核分枝杆菌耐药的因素是多方面的,包括不完全、不充分的治疗、治疗的依从性、后勤保障、菌株的毒力、多药转运体、宿主基因因素及HIV感染。
图14. 轴面CT展示了左上叶巨大空洞伴双上肺结节,与结核感染表现一致。
患者对利福平、异烟肼、吡嗪酰胺、乙胺丁醇和链霉素耐药。下列哪项药物不用于多耐药结核的治疗?
A、卷曲霉素;
B、利福喷丁;
C、乙硫异烟胺;
D、环丝氨酸;
E、莫西沙星。
答案:B、利福喷丁。
利福喷丁对大多数利福平耐药患者无效。卷曲霉素是治疗多耐药结核的有力药物。其他三种药物用于预防卷曲霉素耐药的出现。该CT展示了
该患者需要广泛耐药结核(XDR-TB)的治疗。下列哪种药物不在选择范围内?
A、新的实验性药物;
B、卷曲霉素;
C、亚胺培南;
D、利奈唑胺;
E、上述药物均可用于XDR-TB的治疗。
答案:B、卷曲霉素。
卷曲霉素用于治疗多耐药结核。从定义上说,广泛耐药结核是指对卷曲霉素耐药的结核。因为XDR-TB对大多数有效的抗痨药物耐药,剩余的治疗选择有效性均有限,副作用大且昂贵。
XDR-TB患者治疗的成功率约为30-50%。治疗的结局很大程度上取决于耐药的范围、疾病的严重程度、患者免疫系统的状态,以及患者对治疗的依从性。
在美国,获得XDR-TB的风险很低,在1993至2011年间仅报道了63例病例。
图18. 胸片展示了肺尖病变。
对于成年HIV感染者,即使是痰结核菌培养阴性,疗程也至少为6月。而对治疗表现为延迟应答的HIV感染患者,应考虑延长疗程。
晚期HIV感染患者应在初始及巩固治疗阶段予每日一次或每周三次的治疗。任何HIV感染者,无论是初始治疗还是巩固治疗阶段,都不应使用每周一次异烟肼联合利福喷丁的方案。
对HIV感染者,最需要关注的是利福平与抗逆转录药物的相互作用问题。利福喷丁引起的药物相互作用问题较少,可能作为替代治疗。
预防结核从患者向他人的传播,并因此避免MDR-TB的发生至关重要。对TB患者,应每月进行痰涂片镜检和痰培养,直到连续2次痰培养阴性。在初始治疗后(即2个月时)应留取痰标本,以确定是否需要延长巩固治疗疗程。
治疗失败可能导致获得耐药,这对患者来说是灾难性的,既增加了治疗的花费,也增加了传播给他人的风险。













