典型病例:胸椎结核
点击数:5462016-04-07 11:35:05 来源: 上海美盛医疗器械有限公司
患者男,30岁。
主诉:胸背部疼痛3+月
查体:胸段脊柱棘突间无明显叩击痛,患者疼痛可耐受,行走无障碍。
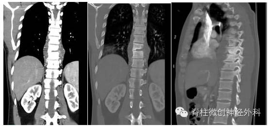
影像学(CT)检查资料:
![]()
影像学资料解读:胸椎多椎体骨破坏、椎旁脓肿广泛、死骨形成。
确诊:胸椎结核
治疗建议:保守治疗
治疗:抗结核治疗
治疗后:患者血沉、C反应蛋白下降
治疗后影像学检查资料:
![]()
影像学资料解读:脓肿大部吸收,但椎体塌陷造成轻度后凸
症状:虽然患者椎体塌出现后凸,但是患者症状未加重
李维新教授解读:
此病例中,患者没有截瘫、胸背部疼痛可耐受、胸背部后凸畸形也不明显。病灶破坏程度选择治疗方案的参考之一,特别是是否手术治疗的重要参考。此次例患者提示手术指征不明显,手术受益相对少,同时手术风险较大,因此建议保守治疗。
【责任编辑:美盛医疗-市场部】(Top) 返回页面顶端
